Contralateral axillary sentinel lymph node recurrence in breast cancer – A case report
Author's: Sá, Margarida1; Martins, Ana Rita2; Amaral, Patrícia2; Ascensão, Carlos2; Fidalgo, Pedro2; Sidiropoulou, Zacharoula2
Affiliations: 1 – Plastic, Reconstructive and Aesthetic and Maxillofacial Surgery Department of Hospital Egas Moniz -Unidade Local de Saúde Lisboa Ocidental (ULSLO);
2 - Breast Unit, General Surgery Department – Unidade Local de Saúde Lisboa Ocidental (ULSLO);
Corresponding author: Margarida Sa; msa@ulslo.min-saude.pt; ORCID: https://orcid.org/0000-0002-2976-2784
Hospital Egas Moniz, Unidade Local de Saúde Lisboa Ocidental
Rua da Junqueira 126, 1349-019, Lisboa, Portugal
Declarations: The authors did not receive support from any organization for the submitted work. The authors have no relevant financial or non-financial interests to disclose.
ABSTRACT
Lymphoscintigraphy drainage to the contralateral axilla is a very rare phenomenon. It is known that the incidence of an aberrant regional lymphatic drainage increases with previous breast, axilla or chest surgery, due to the disruption of normal lymphatic ducts. In recurrent breast cancer, lymphatic mapping and sentinel lymph node are feasible for axillary staging purposes.
We present a case of a 71-year-old female with recurrent breast cancer and contralateral axillary sentinel lymph node marking on preoperative lymphoscintigraphy. This case represents the difficulty and lack of consensus in managing of such cases, that might lead either to under or overtreatment of these patients.
Does isolated contralateral axillary sentinel lymph node in breast cancer patients should be classified as stage IV disease, or instead should be considered N+, changing patients approach? Should we treat them with a multi-modality approach (including surgery and systemic therapy) with a curative intent rather than palliative treatment? Further investigation is essential regarding treatment, management, and prognosis of this particular clinical challenge.
Keyword's: Recurrent breast cancer, sentinel lymph node, contralateral axillary sentinel lymph node
Abbreviations:
American Joint Committee on Cancer (AJCC); contralateral axillary sentinel lymph node (CSLN); computed tomography (CT); estrogen receptor (ER); immunohistochemistry (IHC); human epidermal growth factor receptor 2 (HER-2); Instituto Português de Oncologia de Lisboa Francisco Gentil (IPOLFG); ipsilateral breast tumor recurrence (IBTR); magnetic resonance imaging (MRI); progesterone receptor (PR); sentinel lymph node biopsy (SLNB); sentinel lymph node (SLN); Silver in situ hybridization (SISH).
INTRODUCTION
Sentinel lymph node biopsy (SLNB) is the standard technique for axillary staging in patients with breast cancer with negative axilla proven clinically [1, 2]. Both vital blue dye and radioactive tracer have been demonstrated to identify the sentinel lymph node (SLN), with concomitant use often demonstrated to increase detection rate [3]. In our practice, dual-tracer method is the standard of care.
Drainage to extra-axillary lymph nodes takes place mostly in the internal mammary nodes, intramammary lymph nodes, supra and infraclavicular fossae and interpectoral region. Lymphoscintigraphy identifies drainage outside the ipsilateral axilla in up to 28 % of cases while drainage to the contralateral axilla is very rare, described in 2% of lymphoscintigraphy series [3]. It is known that the incidence of contralateral drainage in patients with previous breast or chest surgery may rise up to 20-46% [1-3]. Patients with prior axillary lymph node dissection are more likely to have an isolated contralateral axillary sentinel lymph node (CSLN) identified [3]. The proposed mechanism is disruption of normal lymphatic vessels during previous surgery [3].
There are no established guidelines for the management of a CSLN and its impact on patients prognosis is still unclear. According to the 2018 American Joint Committee on Cancer (AJCC) Cancer Staging Manual, 8th edition, contralateral axillary involvement histologically proven to be > 0.2 mm is denoted M1 (stage IV) by the TNM classification [1, 3-5].
However, findings of several other studies support that lymph node metastases to the contralateral axilla represent a loco-regional spread of the tumor from the index breast via lymphatics rather than hematogenous spread [3]. Therefore, isolated CSLN in breast cancer patients should not be classified as stage IV disease, but instead N+ (stage III) [2, 4].
This downstaging has profound implications in patient management, because it gives a better prognosis and the possibility of curative treatment approach [1, 4].
CASE PRESENTATION
A 71 years-old Venezuelan female patient presented to our unit with suspected recurrent breast cancer.
She has been originally diagnosed with ductal invasive carcinoma in the right breast by 2000, G1, with 0.5 cm, pT1b N0 and unknown immunohistochemistry (IHC). She has been submitted to right-side tumorectomy and sentinel lymph node biopsy in Venezuela. She underwent 30 sessions of adjuvant radiotherapy to the right breast and 5 years of hormonal therapy with tamoxifen.
In July 2023, in Portugal, she presented an ulcerated lesion in the lower internal right breast quadrant. Mammary ultrasound identified a dominant lump in the lower internal quadrant measuring 34x16 mm. Axillary ultrasound was negative. Breast magnetic resonance imaging (MRI) supported the previous findings, showing a 33x2x32 mm mass and additional satellite lumps, the largest of 8 mm. A breast biopsy was performed and histopathology revealed invasive breast cancer, non special type, G2. IHC revealed a ER- negative, PR-negative and HER2-low breast cancer with a negative FISH test result, and a Ki-67 index of 60%. She underwent bone scintigraphy and CT-scan. Bone scintigraphy was negative and the abdominopelvic CT revealed possible invasion of the underlying muscle layer and additionally the uterine fundus with a suspect lesion.
The case has been discussed in a multidisciplinary team meeting, and she was proposed for neoadjuvant chemotherapy (paclitaxel and carboplatin) followed by doxorubicin plus cyclophosphamide and pembrolizumab. In December 2023, she suffered pembrolizumab associated pneumonitis and underwent her last cycle of chemotherapy in January 2024.
Due to the abdominal pelvic CT findings and a recent history of metrorrhagia, she was referred to IPOLFG. Abdominal and pelvic magnetic resonance imaging (MRI) showed a 49 x 35 x 46 mm uterine lesion with no signs of locoregional or distant dissemination. Histopathology from endometrial biopsy revealed a malignant neoplasm with a rhabdomyoblastic component. She was submitted to hysterectomy, bilateral adnexectomy, lumbo-aortic lymphadenectomy and infracolic omentectomy. Histopathology revealed carcinosarcoma in an endometrial polyp. The tumor consisted of a very scarce malignant epithelial component (high-grade adenocarcinoma) and a predominant heretologous sarcomatoid component. IHC of the tumor identified positivity for mutated p53 and negativity for hormonal receptors.
After results, multidisciplinary team discussion proposed her for breast surgery. In April 2024, a pre-operative breast MRI showed a partial response to neoadjuvant chemotherapy. She was proposed to undergo right simple mastectomy and sentinel lymph node biopsy, for right breast invasive carcinoma, with clinical T4N0M0 staging.
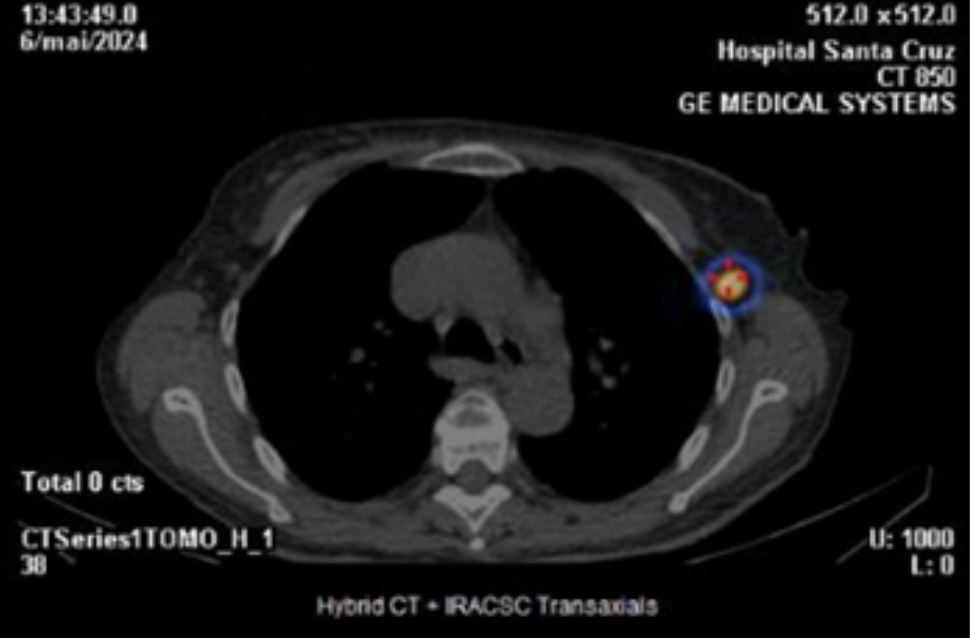
Preoperative lymphoscintigraphy scan revealed a drainage route to the sentinel lymph node in the contralateral axilla (Fig 1 and 2). In May 2024, she went under right simple mastectomy, right axillary lymph node dissection (“no show” of sentinel lymph node), and left sentinel node biopsy.
Histopathology of mastectomy revealed complete response to neoadjuvant chemotherapy, with absence of invasive or in situ tumor and no metastatic lymph nodes, which corresponds to post neoadjuvant chemotherapy staging of ypT0N0. The patient was proposed for adjuvant chemotherapy and breast radiotherapy.

Fig. 1 - SPECT/CT images show a high intensity deposit in the left axilla, which was considered the sentinel node of the right breast cancer - coronal cut

Fig. 2 - SPECT/CT images show a high intensity deposit in the left axilla, which was considered the sentinel node of the right breast cancer - axial cut.
DISCUSSION
Breast has a wide variability of lymphatic routes and several branching patterns. In patients with a history of breast, axillary or thoracic surgery, the existence of aberrant lymphatic pathways is more common, so it is extrapolated that extraaxillary or contralateral axillary lymph nodes in breast cancer could correspond to direct lymphatic migration from the primary tumor [2, 6].
Ahmed, M et al meta-analysis demonstrated that lymphatic mapping and sentinel node biopsy are still feasible in recurrent breast cancer despite lymphatic disruption at previous surgery [6]. Between 5 and 10 per cent of patients with breast cancer will experience a local recurrence in the same breast within 10 years [6], so it’s critical that clinicians are aware of these aberrant lymphatic pathways and its further management.
The incidence of CSLN in the absence of distant metastases is rare, and the diagnosis and management of CSLN is challenging. It is necessary to rule out any primary tumor in the contralateral breast as well as extramammary sites, fact that usually obligates extensive imaging studies.
On the other hand, histopathological results are game changers in the treatment approach of these patients, particularly to demonstrate the similarity in the tumor morphology and the tumor profile of CSLN to the index tumor, and prove that CSLN is a cross over metastasis [4]. In this particular case, CSLN was negative for tumor cells. The uterine tumor was a confounding factor, it was an unrelated synchronous tumor, highlighting once again the role of anatomopathology as well the importance of performing systemic staging.
Another important factor to consider is the ipsilateral axilla approach. Case reports published over the years showed lack of consensus in the management of contralateral SLN marking [1]. Exclusive extraaxillary or contralateral axillary migration does not necessarily mean existence of an ipsilateral lymph node involvement, intraoperative tracking with a gamma probe is advisable, even without evidence of ipsilateral lymphatic migration on lymphoscintigraphy [2].
In case of detecting radiotracer uptake, the corresponding lymph node excision should be performed. If there is no uptake, a “blind” biopsy or an axillary lymph node sampling could be assessed [2]. In our case, we performed ipsilateral axillary lymphadenectomy which has also been described as a possible approach. However, some authors suggest that extended surgery is unjustified at the present time, especially in patients with previous surgery history [2]. They defend that the main aim of the SLNB is precisely to avoid unnecessary lymphadenectomies and its future consequences, such as lymphedema or nerve injury. In fact, the approach of ipsilateral axilla is still a controversial topic and remains a challenge.
Assuming CSLN as loco-regional recurrence and not as advanced disease, is largely discussed in literature and some authors recommend designating isolated CSLN as N3 but not M1 in the future AJCC staging manual [4]. Consequently, these patients should be treated with curative intent rather than palliative treatment. Patients who are treated with a combined-modality approach experience better long-term disease-free and overall survival [4].
Moossdorff, M., et al systematic review of 48 patients with CSLN showed that the prognosis of CSLN is much better compared to the prognosis of metastatic breast cancer, with an overall survival rate of 82,6% after a mean of 50.3 months. The mean 5-year overall survival of metastatic breast cancer varies from 23% in patients with bone metastases to only 13% in patients with visceral metastases [7]. Furthermore, they also concluded that the majority of the patients underwent surgical (92.1%) and systemic treatment (88.9%), such as chemotherapy and/or endocrine therapy, suggesting a curative intent [7].
The present case shows the importance of integrating the clinical and surgical history of the patients, the different types of nuclear medicine imaging techniques, anatomopathology results, oncology treatment decisions and surgery approach in the management and treatment of patients with recurrent breast cancer. Despite the occurrence of contralateral SLN drainage, further investigation and more randomized and prospective studies are needed to systemize therapeutic, management and prognostic answers to this rare clinical challenge.
CONCLUSION
We present a case of a 71-year-old female with recurrent breast cancer and contralateral axillary SLN on preoperative lymphoscintigraphy. In these cases, it is mandatory to rule out any primary tumor in the contralateral breast, as well as extramammary sites. Then, it is mandatory to check for the existence of an ipsilateral lymph node involvement, intraoperatively by a gamma probe, even without evidence of ipsilateral lymphatic migration on lymphoscintigraphy. The lack of consensus in the management of these patients leads to under or overtreatment with adverse side effects. Staging classification should be reviewed, isolated CSLN in breast cancer patients to our view should be considered N+ disease, and not stage IV disease. These cases must be discussed in a multidisciplinary meeting and should be treated with a multi-modality approach with curative intent. As it is a rare condition, there aren’t many randomized or prospective studies, only clinical cases or series of cases described, so further investigation is necessary regarding treatment, management and prognosis of this particular but not so rare finding.
REFERENCES
1 - Cairns C, Greenwalt I, Fan KL, Willey SC. Contralateral axillary sentinel lymph node in breast cancer recurrence. Breast J. 2020;26(7):1379-81.
2 - Valhondo-Rama R, Wakfie-Corieh CG, Rodriguez Gallo EA, Perez-Castejon MJ, Brenes Sanchez JM, Herrera de la Muela M, et al. Contralateral axillary sentinel lymph node drainage in breast cancer: Controversies and management according to the literature. A case report. Rev Esp Med Nucl Imagen Mol (Engl Ed). 2019;38(5):316-9.
3 - Lizarraga IM, Scott-Conner CE, Muzahir S, Weigel RJ, Graham MM, Sugg SL. Management of contralateral axillary sentinel lymph nodes detected on lymphoscintigraphy for breast cancer. Ann Surg Oncol. 2013;20(10):3317-22.
4 - Chkheidze R, Sanders MAG, Haley B, Leitch AM, Sahoo S. Isolated Contralateral Axillary Lymph Node Involvement in Breast Cancer Represents a Locally Advanced Disease Not Distant Metastases. Clin Breast Cancer. 2018;18(4):298-304.
5 - Amin MB ES, Greene FL. AJCC (American Joint Committee on Cancer) cancer staging manual. 8th ed2018.
6 - Ahmed M, Baker R, Rubio IT. Meta-analysis of aberrant lymphatic drainage in recurrent breast cancer. Br J Surg. 2016;103(12):1579-88.
7 - Moossdorff M, Vugts G, Maaskant-Braat AJ, Strobbe LJ, Voogd AC, Smidt ML, et al. Contralateral lymph node recurrence in breast cancer: Regional event rather than distant metastatic disease. A systematic review of the literature. Eur J Surg Oncol. 2015;41(9):1128-36.



Comments on this article